Trituration Trituration
  • Nos sites
    • Site Oudinot
    • Site Versailles
    • Site Victor Hugo
  • Les examens
    • Radiographie
    • Échographie et doppler
    • Mammographie
    • Biopsie mammaire
    • Ostéodensitométrie biphotonique
    • Imagerie dentaire
    • Infiltration
    • Scanner • Arthroscanner
    • IRM • Arthro IRM
    • Système EOS
    • IRM ouverte
    • Hystérographie
  • Les médecins
  • Prendre rendez-vous
  • Mes résultats
  • Nous contacter
  • Nos actualités
Imagerie Médicale Oudinot
  • Nos sites
    • Site Oudinot
    • Site Versailles
    • Site Victor Hugo
  • Les examens
    • Radiographie
    • Échographie et doppler
    • Mammographie
    • Biopsie mammaire
    • Ostéodensitométrie biphotonique
    • Imagerie dentaire
    • Infiltration
    • Scanner • Arthroscanner
    • IRM • Arthro IRM
    • Système EOS
    • IRM ouverte
    • Hystérographie
  • Les médecins
  • Prendre rendez-vous
  • Mes résultats
  • Nous contacter
  • Nos actualités

Trituration

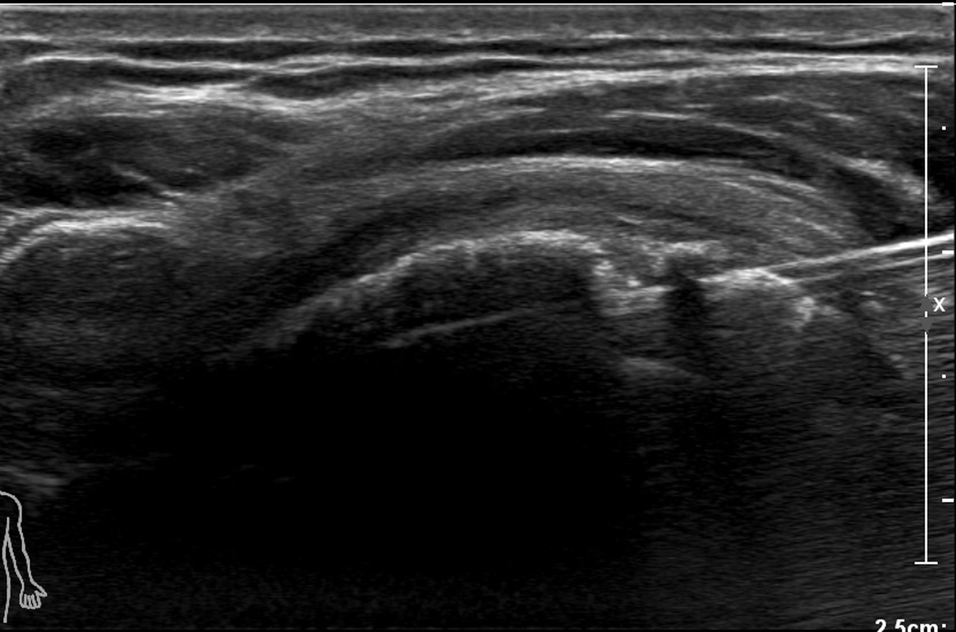
La ponction lavage de calcification tendineuse ou trituration est une technique de radiologie qui permet de faire régresser de volumineuses calcifications qui se sont formées au sein des tendons (de l’épaule le plus souvent) et sont responsable de douleurs.

Elle est réalisée sous contrôle échographique.

 

Retour

Déroulement de l'examen et précautions

Comment se passe une ponction lavage de calcification ?

Le jour de l’examen, il n’y a pas de précaution particulière à prendre. Une simple douche le jour même suffit. Vous devez emmener avec vous vos précédentes imageries. A votre arrivée au cabinet, vous serez pris en charge par une manipulatrice. Vous devez signaler toute allergie, diabète, infection en cours, trouble de la coagulation et traitement par anti‑coagulants ou Aspirine. Vous serez alors installé dans la salle d’examen. Ensuite, le radiologue étudiera votre dossier et débutera le geste d’infiltration. Il repère dans un premier temps la zone à infiltrer puis procède à la désinfection locale. Le geste est réalisé en conditions stériles.

Il introduit ensuite une aiguille jusqu’à la calcification et procède à une ponction et lavage de celle‑ci, c’est‑à‑dire plusieurs passages et aspirations à l’aiguille fine au sein de la calcification afin de la ramollir. En fin de procédure, il injecte un corticoïde afin de limiter les douleurs secondaires.

Quelles sont les suites d’une infiltration ?

Dans les 48 heures suivant la procédure, il existe un risque important de crise douloureuse aiguë qui correspond au processus normal de résorption de calcification, entraînée par la ponction‑lavage. Avec votre compte rendu d’examen, le médecin vous donnera une ordonnance contenant une prescription d’anti‑inflammatoires, protecteurs gastriques, antalgiques et poche de glace afin de limiter ces phénomènes douloureux.

Il est en général préconisé d’avoir deux journées de repos (arrêt de travail si nécessaire) après l’intervention.

Quelles sont les complications possibles ? 

  • Liées à la ponction :
    • Une infection peut survenir mais elle très rare ; toutes les précautions sont prises (matériel stérile, port de masque, désinfection) afin de l’éviter. Si des signes d’infection apparaissent (fièvre, douleur intense, rougeur locale) vous devez les signaler immédiatement à votre médecin en lui précisant que vous avez eu récemment une infiltration.
    • Un malaise vagal (sueurs, malaise) peut survenir lors de l’infiltration mais il est toujours bénin. La simple sur‑élévation des jambes permet de régler ce problème
    • Une rupture (exceptionnelle) du tendon
  • Liées à l’infiltration de corticoïdes en fin de procédure :
    • Chez les patients diabétiques : un déséquilibre de la fonction glycémique. L’infiltration de corticoïdes peut être réalisée chez les patients diabétiques, après accord du médecin traitant ou du diabétologue. La glycémie devra être surveillée de façon plus rapprochée dans les 48 heures suivant l’injection. En cas de déséquilibre, vous devez le signaler immédiatement à votre médecin qui adaptera le traitement.
    • Chez les patients hypertendus : un déséquilibre de l’équilibre tensionnel. L’infiltration de corticoïdes peut être réalisée chez les patients présentant une hypertension traitée, après accord du médecin traitant ou du cardiologue. La tension artérielle devra être surveillée de façon plus rapprochée dans les 48 heures suivant l’injection. En cas de déséquilibre, vous devez le signaler immédiatement à votre médecin qui adaptera le traitement.

Avant, pendant ou après chaque infiltration votre médecin radiologue pourra répondre à vos questions.

Télécharger la fiche information

Prise de rendez‑vous en ligne 24/24

Vous pouvez prendre rendez‑vous dans l'un de nos centres directement en ligne.

Prendre rendez-vous

Mentions légales

Réalisé par Jinboo
— Copyright 2026 — Mentions légales — Politique de confidentialité — Modifier vos préférences de cookies
Ce site utilise les cookies pour réaliser des statistiques anonymes sur les visites. Ces informations nous aident à améliorer votre expérience et offrir des contenus pertinents. Notre politique de confidentialité est accessible en pied de page dans les mentions légales. En savoir plus
Refuser Accepter