Tout savoir sur l'examen d'hystérosalpingographie
Qu’est‑ce que l’hystérosalpingographie ?
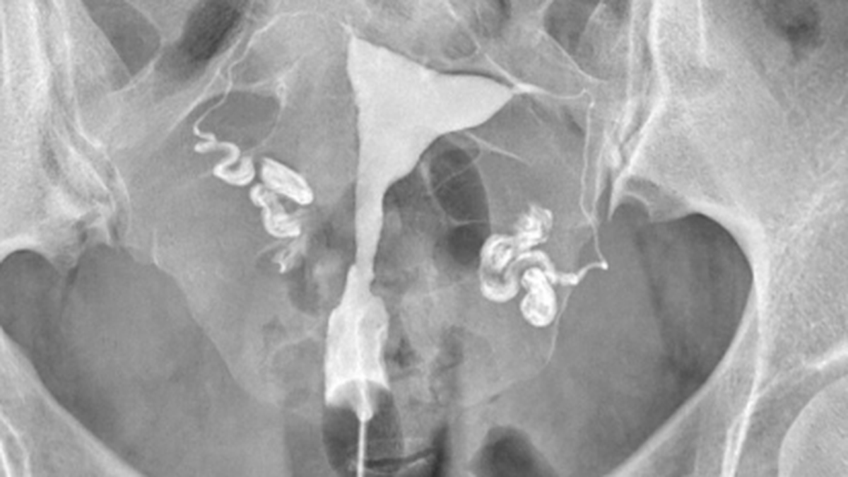
L’hystérosalpingographie est l’examen qui permet de vérifier le bon état des trompes. Il s’adresse le plus souvent aux femmes en âge de procréer qui ont du mal à tomber enceinte.
Cet examen consiste à prendre des radiographies du pelvis après injection par le col d’un produit radio‑opaque qui passe ensuite dans l’utérus et les trompes.

Comment se déroule cet examen ?
La patiente est allongée sur la table de radiologie. Le médecin va mettre en place un spéculum puis positionner un petit cathéter au niveau du col de l’utérus par voie naturelle. Il n’y a pas d’aiguille !
Il injecte ensuite doucement un produit radio‑opaque par le col qui va permettre d’opacifier l’utérus, puis les trompes si elles sont perméables. Différents clichés radiographiques sont alors réalisés.
Tout au long de la procédure, le médecin reste à côté de la patiente et explique au fur et à mesure ce qu’il fait. Une fois la patiente installée, l’examen dure entre 5 et 10 minutes.
Est‑ce que cet examen est douloureux ?
C’est souvent la première question que posent les patientes à leur arrivée. Bien que désagréable, c’est un examen le plus souvent peu ou pas douloureux.
Dans certains cas, les patientes peuvent ressentir des douleurs similaires aux règles au moment de l’opacification des trompes. Dans de rares cas, certaines patientes peuvent ressentir des douleurs plus importantes, c’est le cas notamment quand les trompes sont bouchées.
L’appréhension de l’examen est généralement vite levée dès que la radiologue commence à expliquer les différentes phases de l'examen.
Qu’est‑ce qu’on cherche ?
L’hystérosalpingographie permet de vérifier que les trompes ne sont pas bouchées et qu’elles présentent un aspect normal. La principale cause de pathologie tubaire est l’infection. En effet, une trompe qui a été infectée peut garder des séquelles et apparaître bouchée ou dilatées ce qu’on appelle l’hydrosalpinx.
Certaines pathologies comme l’endométriose ou des séquelles de grossesse extra‑utérine peuvent également abîmer les trompes.
Bien que ce ne soit pas son indication principale cet examen permet également de dépister des pathologies intra utérines, comme des fibromes ou des polypes, une malformation utérine ou de suspecter une endométriose ou une adénomyose.
Dans certains de ces cas, la radiologue proposera de compléter l’examen par une échographie.

À quel moment peut‑on réaliser cet examen et quelles sont les précautions à prendre ?
La principale contre‑indication de cet examen est la grossesse. C’est pourquoi cet examen sera réalisé en première partie de cycle, idéalement entre J4 et J11 (on rappelle que J1 est le premier jour des règles), et après vérification par une prise de sang du dosage des BHG.
Un antibiotique est également prescrit pour prévenir du risque infectieux. Enfin, en cas d’allergie, un traitement antihistaminique est prescrit.
Il est important de penser à ramener les différents documents précédents (compte rendu de consultation gynécologique, prise de sang, échographie…).
➜ en savoir plus sur les contre‑indications et le déroulement de l'examen d'hystérosalpingographie.
Existe‑t-il des effets secondaires ?
Cet examen présente très peu d’effets secondaires. Dans de très rares cas, une intolérance ou une allergie (démangeaisons ou réaction cutanée le plus souvent) au produit de contraste peut être observée. Cela reste exceptionnel, toutefois, en cas de terrain allergique un traitement antihistaminique préventif est proposé.
Pendant les quelques jours suivant l’examen, la patiente peut présenter des saignements légers et quelques douleurs à type de crampes abdomino‑pelviennes pour lesquelles un traitement préventif antalgique et antispasmodique est prescrit.
Dans la grande majorité des cas, les patientes repartent avec le sourire en regrettant l’anxiété anticipatoire de l’examen !
Combien de temps prévoir sur place ?
Le temps total combinant l’accueil de la patiente, l’installation, la réalisation de l’examen, la lecture des clichés et la réalisation du compte‑rendu est d’environ une heure.
La patiente repart ensuite avec les clichés et le compte‑rendu.
Vous avez une question sur l’examen d'hystérosalpingographie ? Contactez‑notre équipe médicale qui vous répondra dans les plus brefs délais.